2026-03-26
前歯のかみ合わせを治したい
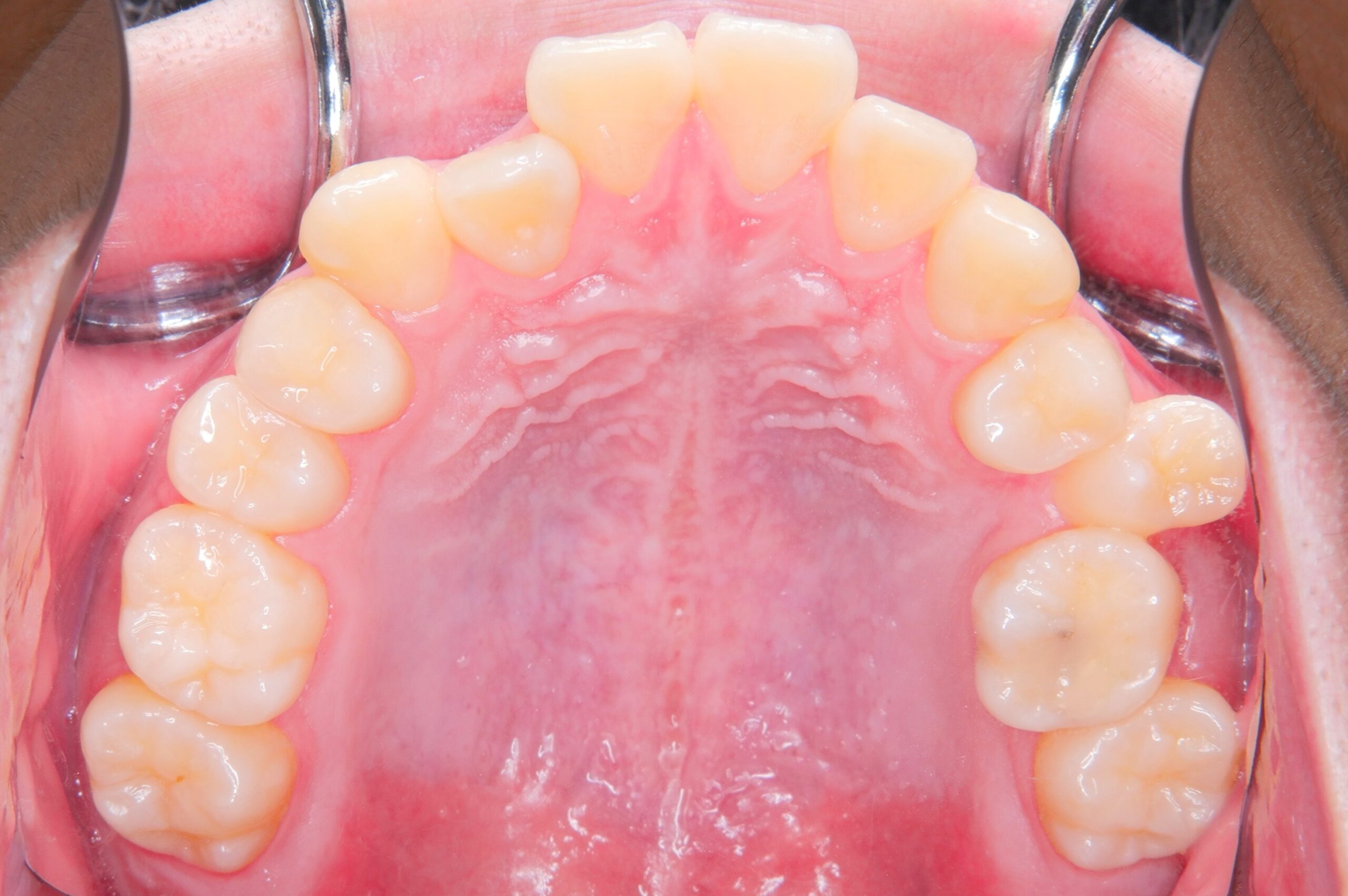
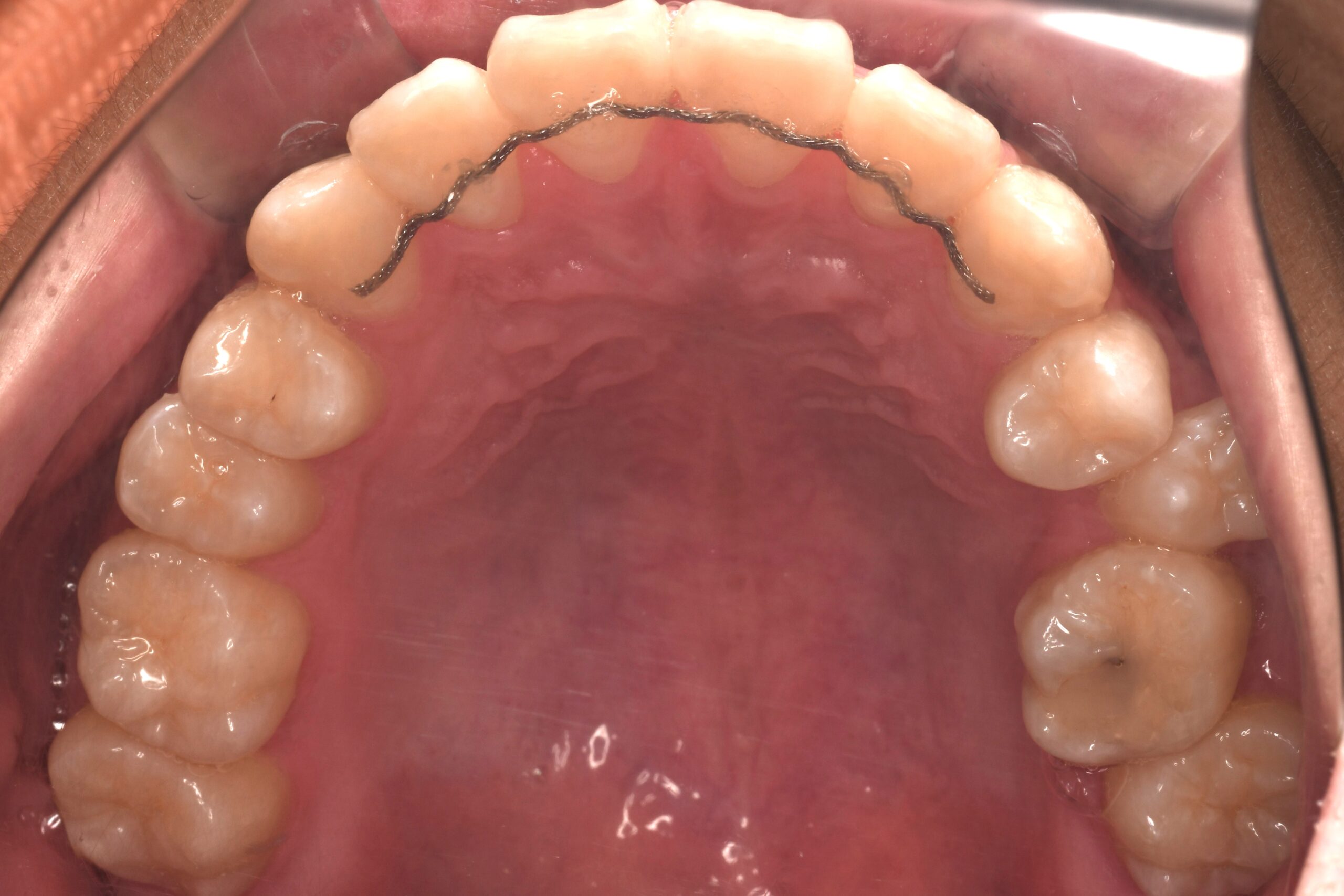
症例
BEFORE AFTER
BEFORE

AFTER

BEFORE

AFTER

| 年齢 | 18歳 |
|---|---|
| 主訴 | 前歯のかみ合わせを治したい |
| 症状 | 前歯部クロスバイトを有する叢生症例 |
| 治療内容 | 前歯部クロスバイトを有する叢生症例と診断し非抜歯でマルチブラケット装置を用いて部分矯正で治療を行いました。 |
| 抜歯部位 | 非抜歯 |
| 治療期間 | 6か月 |
| 費用(税込) | 440,000円(税込)別途処置料 |
| 治療のリスク | 虫歯、歯周病の悪化、歯肉退縮、歯根吸収、顎関節症の悪化、後戻り |



