INFORMATION
医院情報
診療のご予約はこちらから
診療カレンダー
クリニック紹介動画
画面内に入ると自動再生します。音声は動画の音量ボタンからオンにできます。
TREATMENT
診療案内
かみ合わせから
美しさまで考える
矯正専門クリニックの治療
覚王山矯正歯科では、矯正治療を専門に、見た目の改善だけでなく「しっかりかめること」「将来まで安定したかみ合わせ」を大切にした治療を行っています。
当院では、口腔内スキャナーや歯科用CTを用いた精密な検査をもとに、患者様一人ひとりに合わせたオーダーメイドの矯正治療をご提案しています。
CONCEPT
診療理念
美しさと機能を両立した
「一生涯のかみ合わせづくり」
審美的な改善だけでなく、機能的にも良好な咬合をつくることで、生涯にわたって安定したかみ合わせを育て、お口の健康を守りたいと考えています。
近年発展しているデジタル技術も積極的に取り入れ、正確な診査・診断にもとづき、患者様一人ひとりに合わせたオーダーメイドの治療計画をご提案します。
美しい歯並びと、心から笑える素敵な笑顔を長く支えていくことが、当院の目指す矯正治療です。

見た目に配慮した、
患者様 本位の矯正治療
治療中の見た目が気になる患者様には、装置が目立ちにくい矯正方法を積極的に取り入れ、ニーズにお応えします。
表側・裏側のワイヤー装置、マウスピース型(アライナー型)矯正装置、歯科矯正用アンカースクリューなど、幅広い矯正治療の選択肢をご用意し、ライフスタイルやご希望に合わせてご提案します。

YOUR
CONCERNS
お悩み別の治療
自分の歯並びタイプを知って
あなたに合った矯正治療
を見つけましょう
歯並びやかみ合わせのお悩みは、人それぞれ異なります。
「ガタガタが気になる」「前歯が出ている」「かみにくい」「口元の印象を整えたい」など、見た目だけでなく機能面に関するお悩みも多くあります。
覚王山矯正歯科では、お悩みのタイプごとにかみ合わせの状態や原因を丁寧に診断し、患者様一人ひとりに合わせた矯正治療をご提案しています。
がたがた(叢生)
歯が並ぶスペースが足りず、歯が重なっている状態です。歯磨きが難しく、虫歯や歯周病のリスクが高くなります。歯列を整え、清掃しやすく健康的な口腔環境を目指します。
出っ歯(上顎前突)
上の前歯が前方に出ている状態です。口が閉じにくい、前歯をぶつけやすいなどの問題が起こることがあります。
矯正治療で歯の位置とかみ合わせを整え、口元のバランス改善を目指します。
受け口(反対咬合)
下の歯が上の歯より前に出ているかみ合わせです。かみにくさや発音への影響、顎への負担が出ることもあります。矯正治療によってかみ合わせを整え、機能面と見た目のバランス改善を目指します。
口ゴボ
上下の前歯が前に出て、口元が盛り上がって見える状態です。横顔の印象が気になる方に多いお悩みです。歯並びと口元のバランスを整え、すっきりとした横顔を目指します。
開咬
奥歯はかんでいるのに、前歯がかみ合わない状態です。食べ物がかみ切りにくい、発音がしにくいなどの問題が起こりやすくなります。上下の歯の位置関係を整え、正しいかみ合わせへ導きます。
かみ合わせが深い(過蓋咬合)
上の前歯が下の前歯を深く覆っているかみ合わせです。歯や顎への負担が大きく、歯のすり減りや顎関節への影響が出ることもあります。矯正治療でかみ合わせの高さとバランスを整えます。
すきっ歯(空隙歯列)
歯と歯の間にすき間がある状態です。
見た目の問題だけでなく、発音や食べ物が詰まりやすい原因にもなります。
歯の位置を整え、自然で美しい歯並びを目指します。
Eライン
鼻先と顎先を結んだラインを「Eライン」と呼びます。歯並びやかみ合わせによって、口元が突出して見えることがあります。矯正治療により口元のバランスを整え、横顔の印象改善を目指します。
やり直し矯正

過去に矯正治療を受けたものの、後戻りや仕上がりに不満が残るケースがあります。原因は保定期間の不足やかみ合わせの変化などさまざまです。再矯正では、現在の歯並びに合わせた治療計画を立て、より効率的な改善を目指します。
DOCTOR
ドクター紹介
覚王山矯正歯科 院長青木勇樹
AOKI YUKI
専門性をいかして
「やってよかった」
と思える矯正治療を
初めまして、覚王山矯正歯科院長の青木勇樹です。
多くの皆様のご厚情とご支援に支えられ、生まれ育った覚王山の地にて、矯正歯科を専門とするクリニックを開設する運びとなりました。謹んで感謝申し上げます。
これまで多くの患者様の歯並びの治療に貢献してまいりました。そして、歯並びに対するお悩みや治療に対する不安を解消するべく、これまでに得た技術や経験を地域の皆様にご提供したいと考えております。歯並びを改善することで皆様の人生がより豊かな人生を送るサポートができたら幸いです。
経歴
| 2004年 | 愛知教育大学附属名古屋小学校 卒業 |
|---|---|
| 2010年 | 東海高校 卒業 南山大学経済学部 入学 |
| 2012年 | 愛知学院大学歯学部 編入学 |
| 2017年 | 愛知学院大学歯学部 卒業 愛知学院大学歯学部附属病院 歯科医師臨床研修 |
| 2018年 | 愛知学院大学歯学部歯科矯正学講座専攻科 入局 |
| 2019年 | 愛知学院大学歯学部歯学研究科 入学 オカザキ歯科矯正歯科 勤務 パレ歯科矯正歯科 勤務 |
| 2021年 | 日本医歯薬研修協会歯科医師国家試験対策部 名古屋校 講師 日本医歯薬研修協会歯科医師国家試験対策部 大阪校 講師 |
| 2023年 | 愛知学院大学歯学部大学院 修了 博士(歯学)取得 日本矯正歯科学会 認定医(登録番号4435)取得 愛知学院大学歯学部歯科矯正学講座 非常勤講師 愛知県、岐阜県のクリニックにて矯正治療担当医 よっかいち矯正歯科医院 勤務 |
| 2024年 | 近畿東海矯正歯科学会 編集委員 |
| 2025年 | 名古屋ユマニテク歯科衛生専門学校 非常勤講師 日本医歯薬研修協会歯科医師国家試験対策部東京校 講師 |
| 2026年 | 覚王山矯正歯科 開院 |

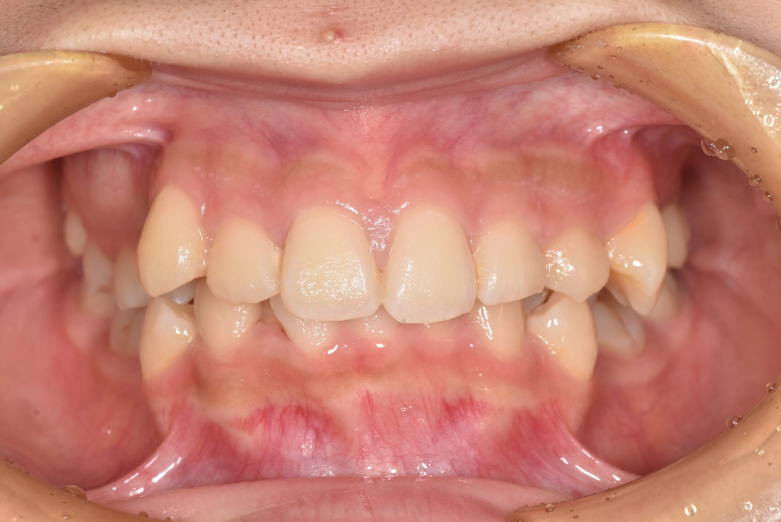
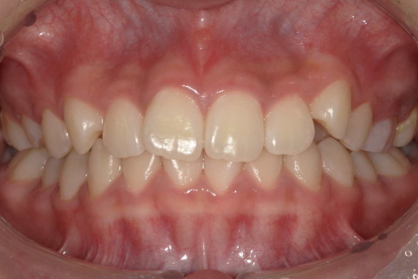
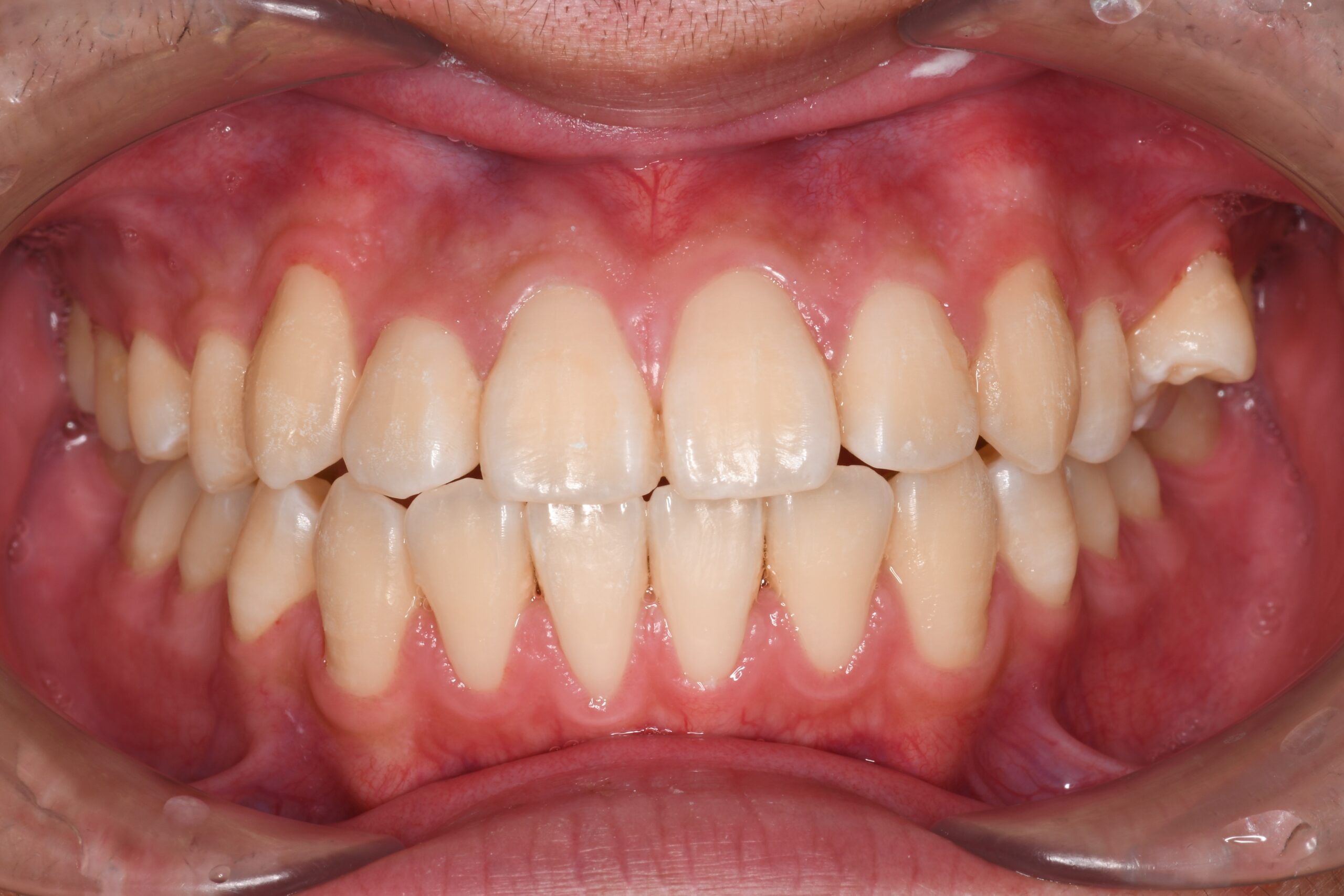
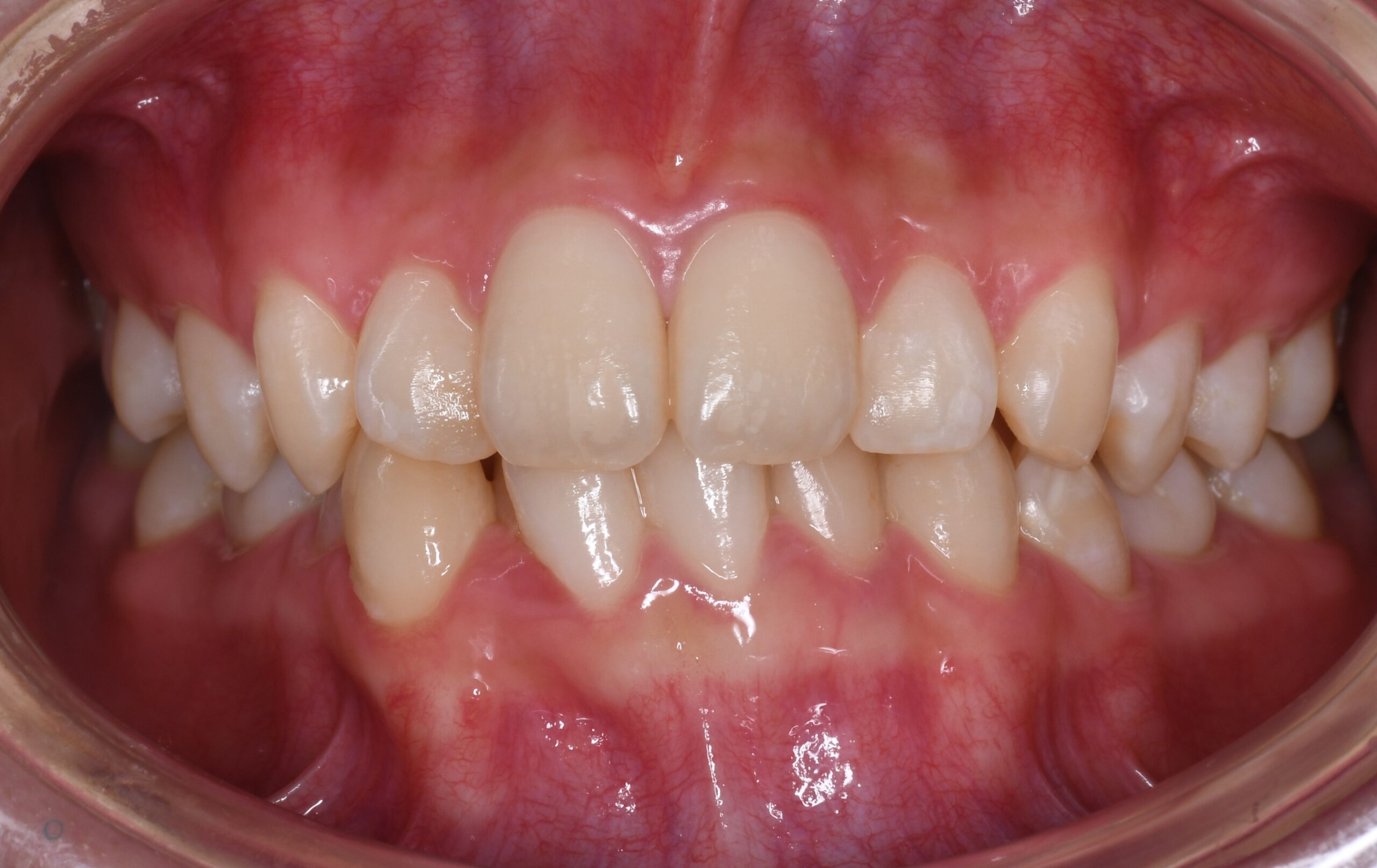
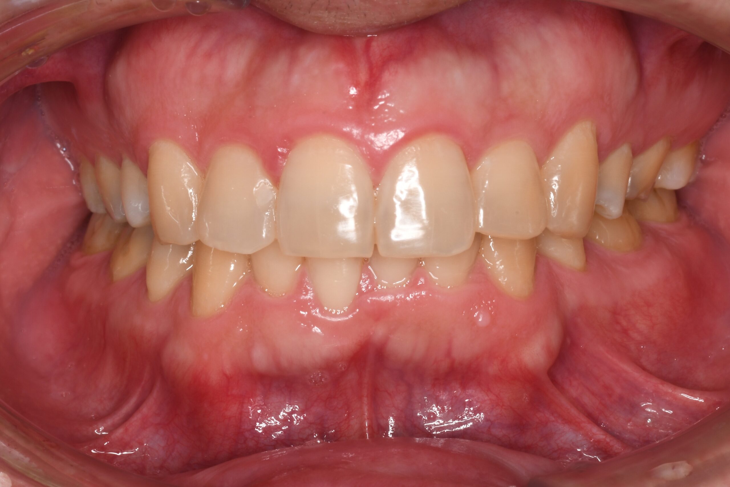
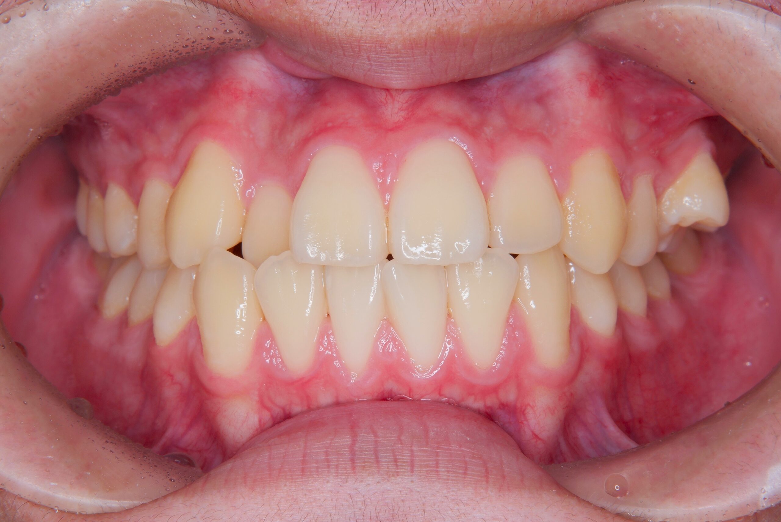
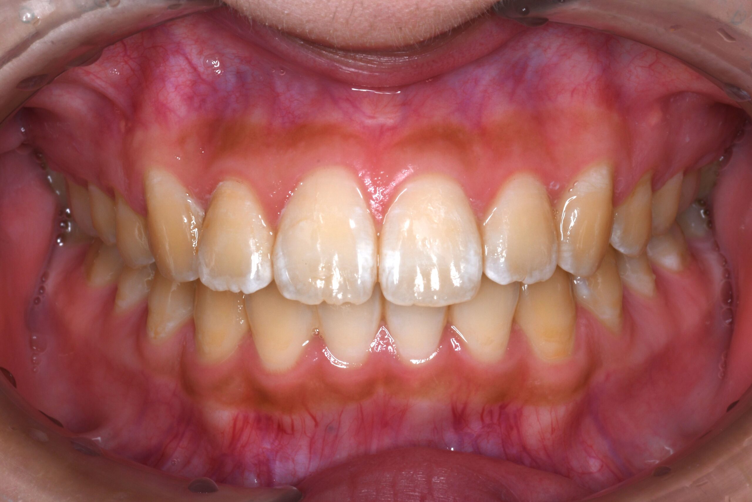
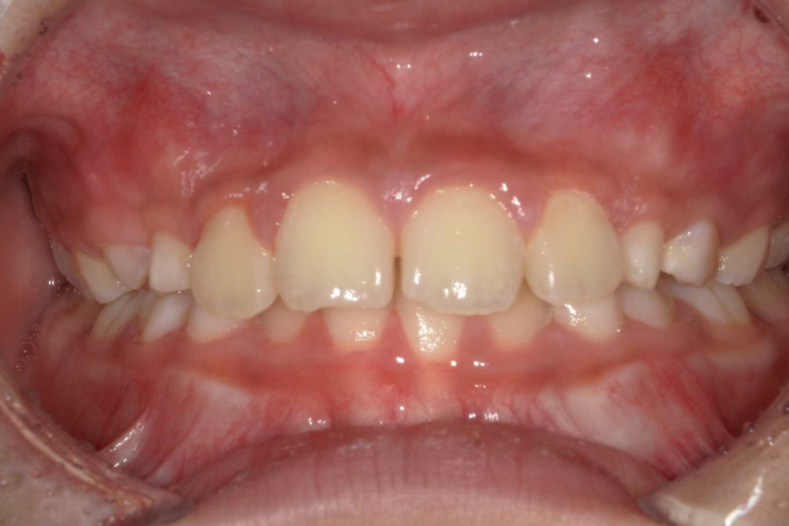
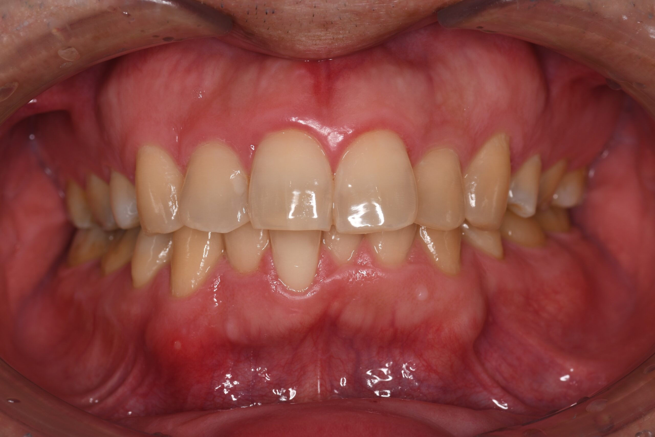
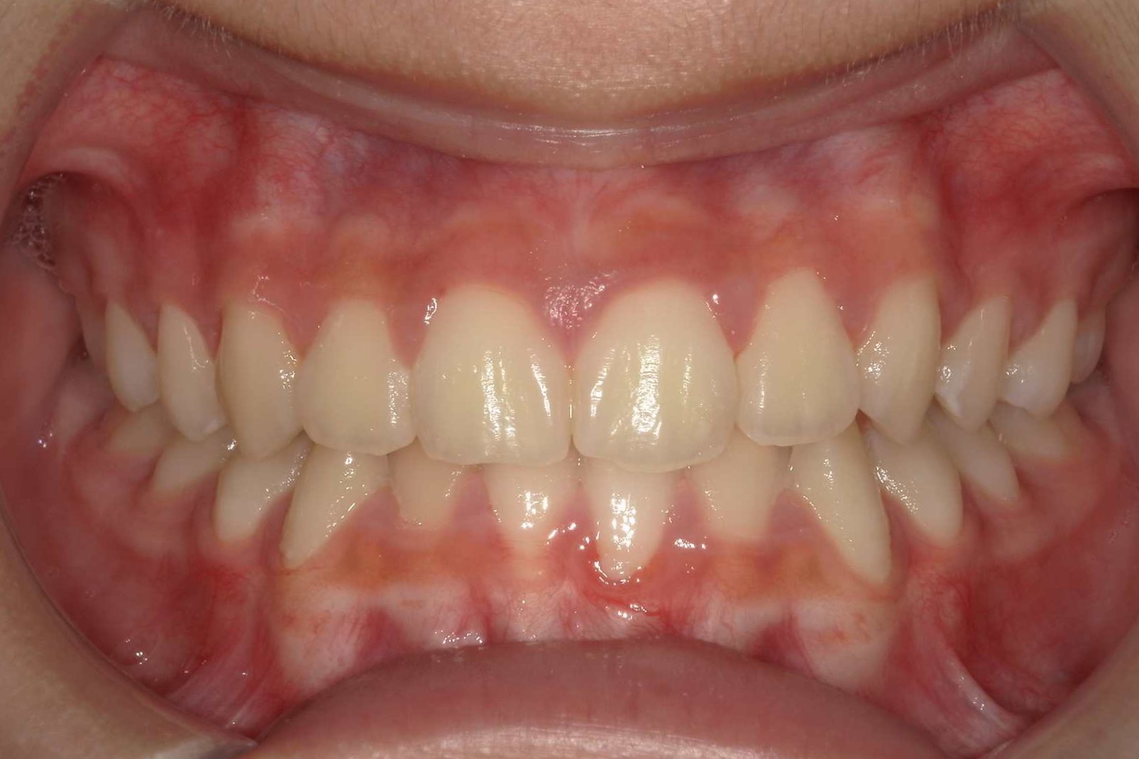
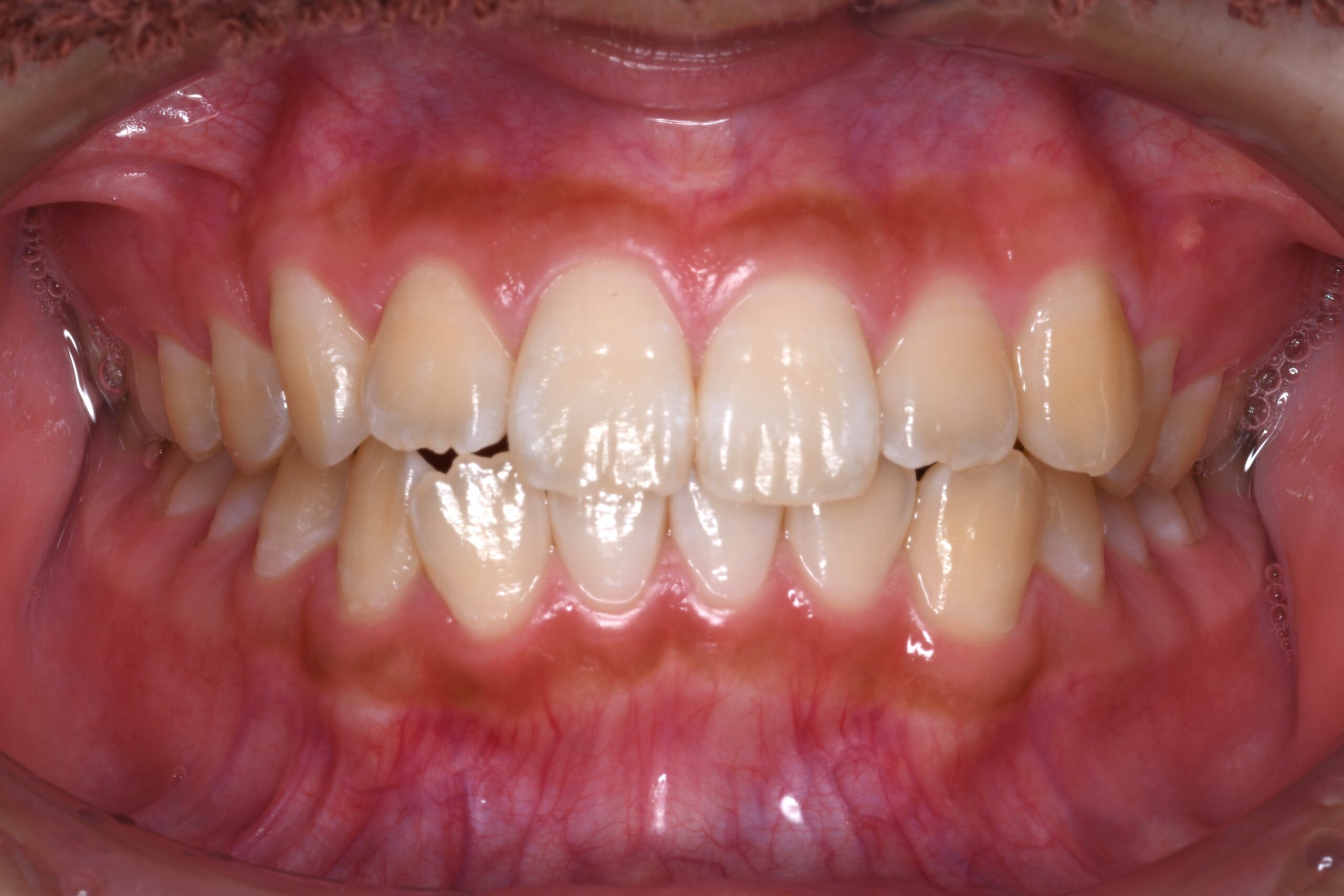
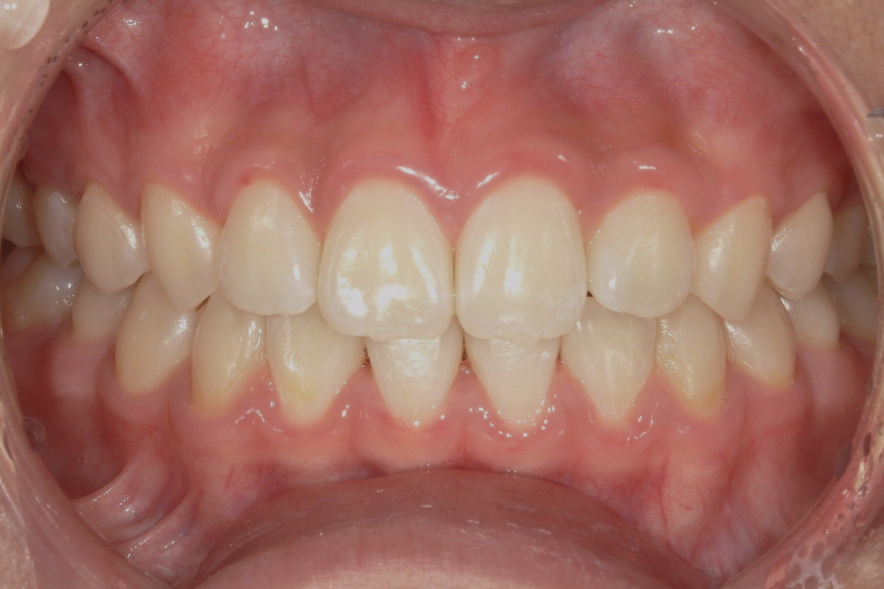
CASE
矯正治療の症例紹介
かみ合わせから整える、
覚王山矯正歯科の
矯正治療症例
覚王山矯正歯科では、歯並びの見た目だけでなく、かみ合わせやお口全体のバランスまで考えた矯正治療を行っています。
症例ごとに治療方針や治療方法は異なり、患者様一人ひとりに合わせたオーダーメイドの矯正治療を大切にしています。このページでは、当院で実際に行った矯正治療の症例をもとに、治療前後の変化や治療の考え方をご紹介しています。
「自分と似た歯並びの症例が知りたい」「治療後のイメージを見てみたい」という方は、ぜひご覧ください。
SNS
























