2026-03-25
ガタガタが気になる
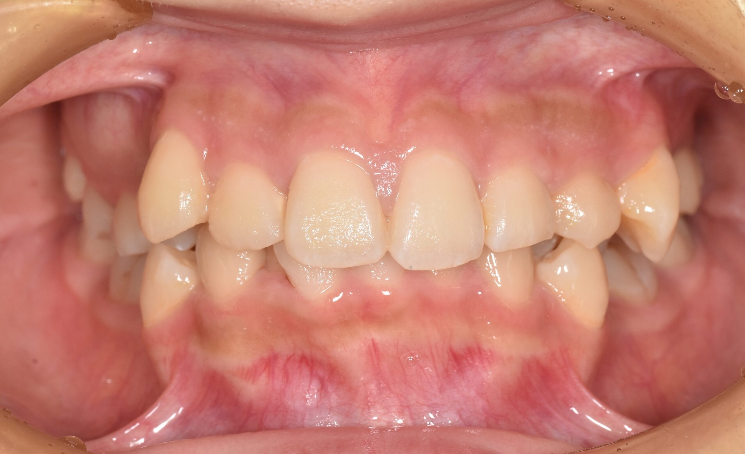
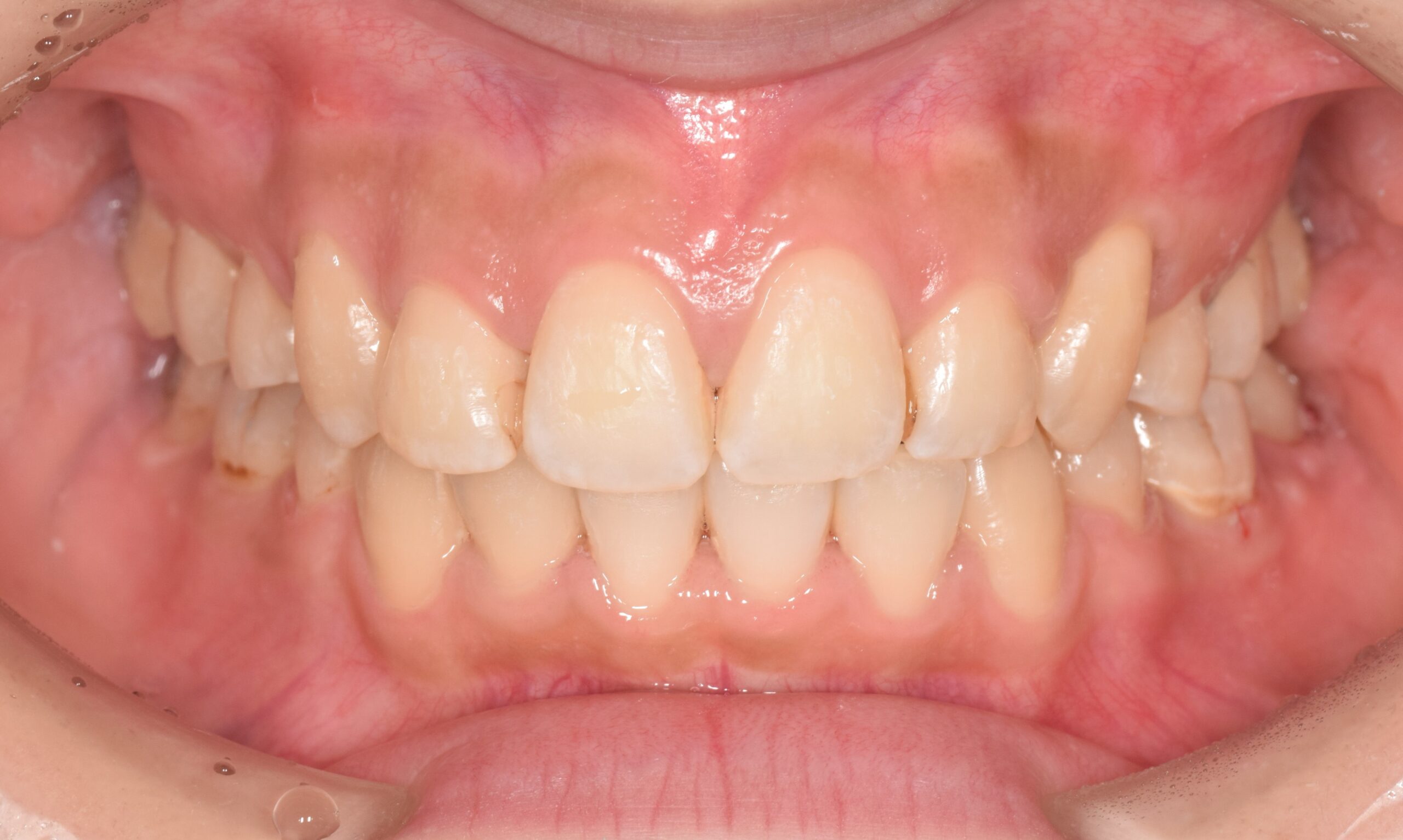
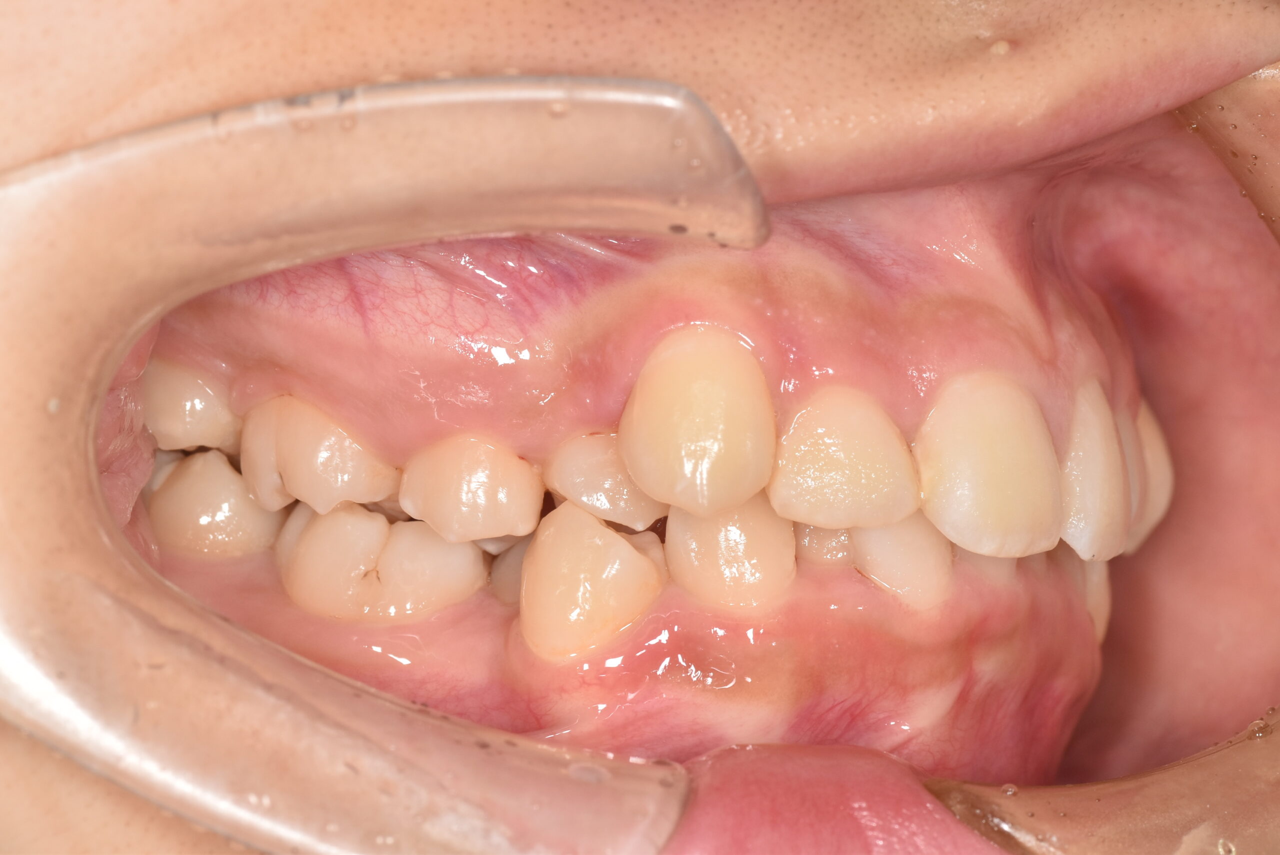
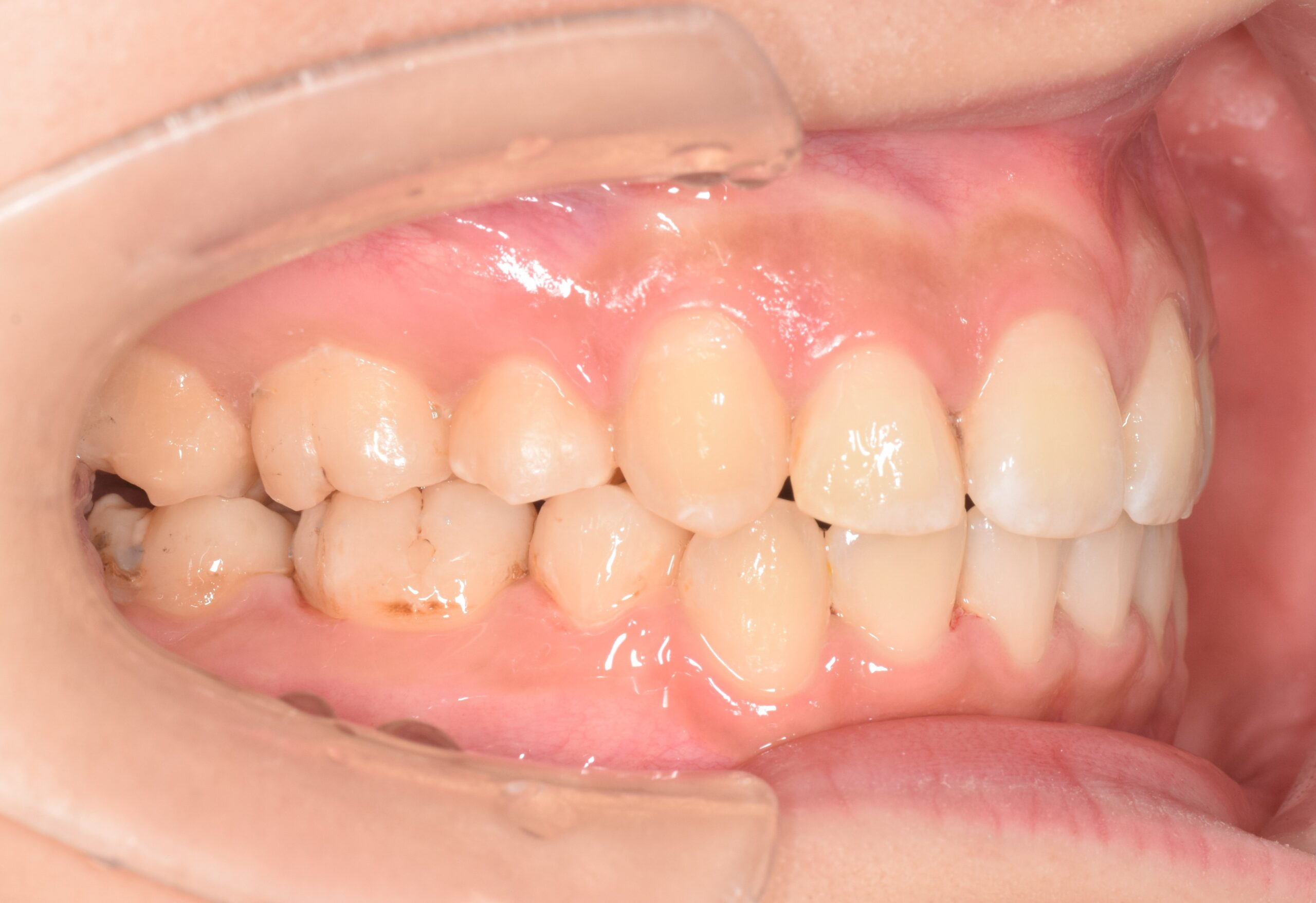
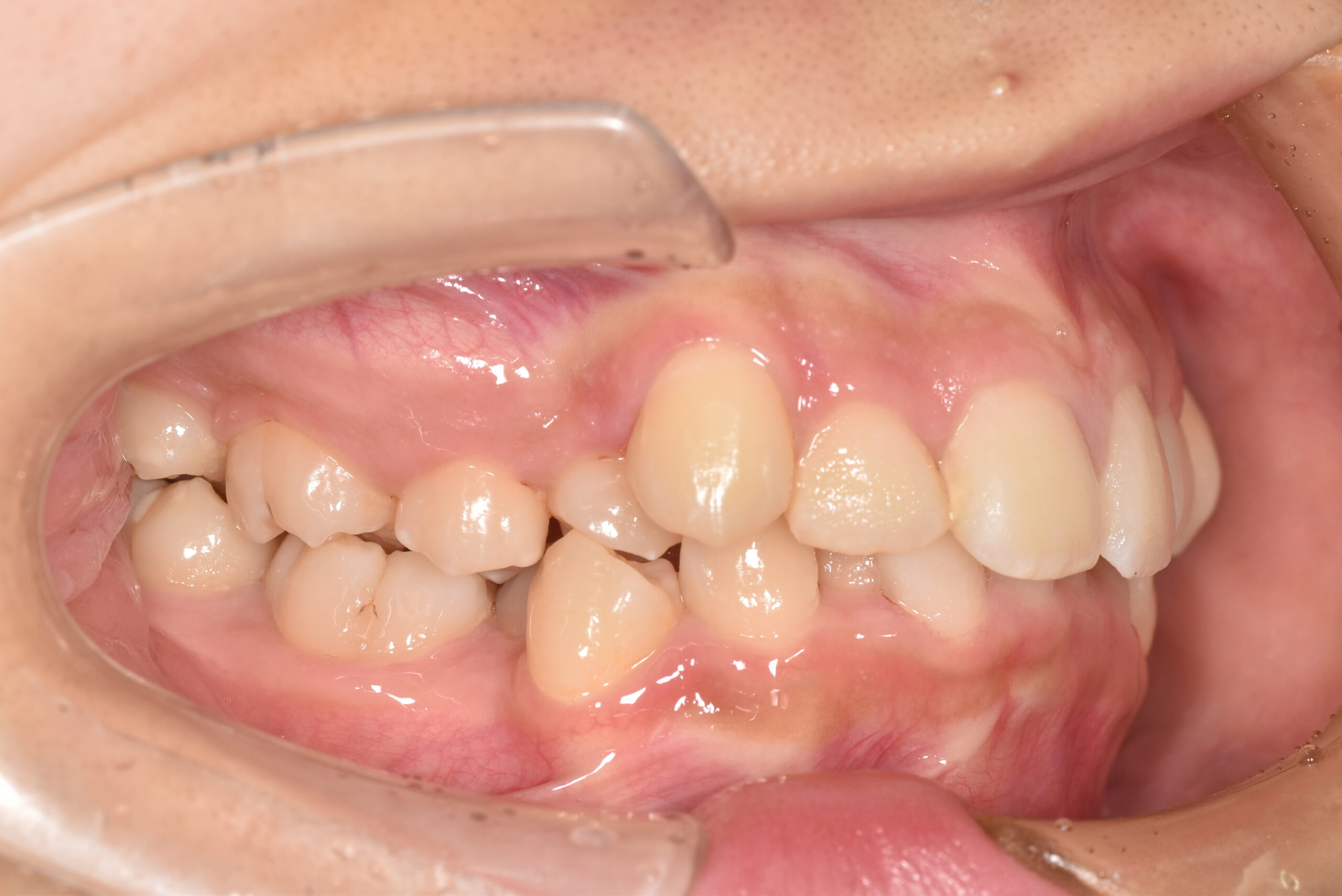
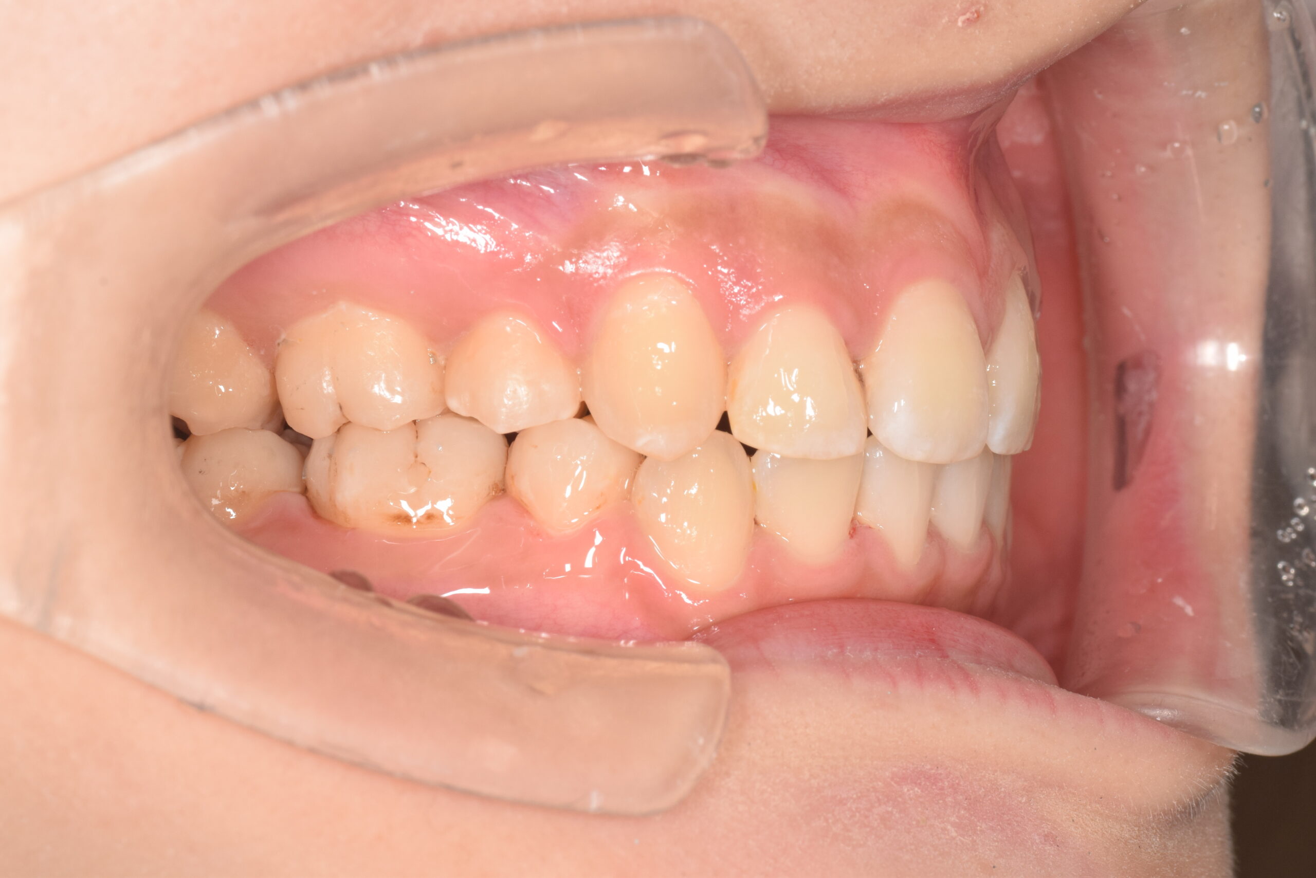
症例
BEFORE AFTER
BEFORE

AFTER

BEFORE

AFTER

| 年齢 | 19歳 |
|---|---|
| 主訴 | ガタガタが気になる |
| 症状 | 過蓋咬合を伴う叢生症例 |
| 治療内容 | 過蓋咬合を伴う叢生症例と診断し上下顎両側第一小臼歯の抜歯を行い、マルチブラケット装置を用いて治療を行いました。上顎は裏側の矯正装置、下顎は表側の矯正装置で治療を行いました。ハーフリンガル矯正治療。 |
| 抜歯部位 | 上下顎両側第一小臼歯 |
| 治療期間 | 3年 |
| 費用(税込) | 1,045,000(税込)別途処置料 |
| 治療のリスク | 虫歯、歯周病の悪化、歯肉退縮、歯根吸収、顎関節症の悪化、後戻り |



