2026-03-25
下の歯のガタつきを治したい
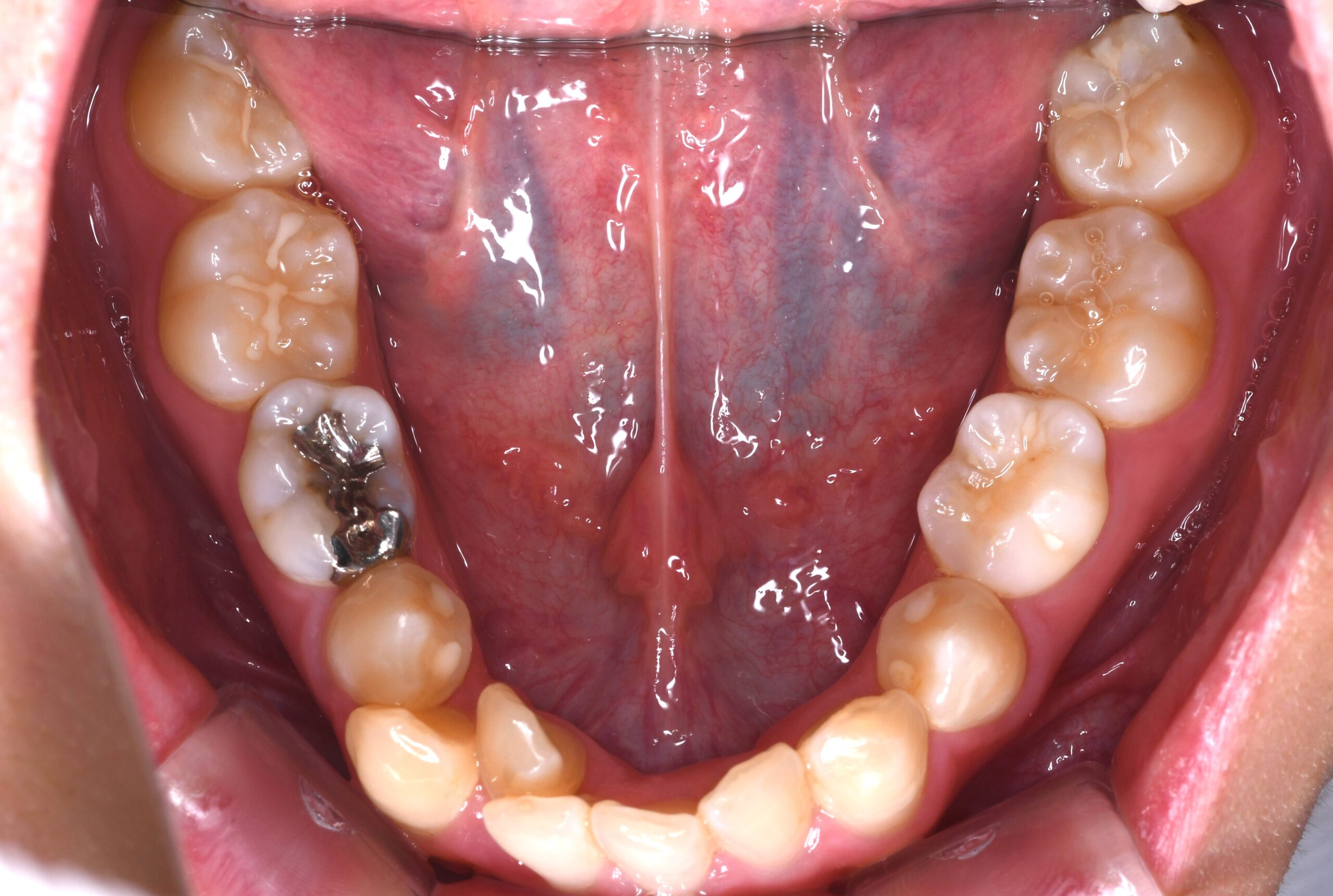
症例
BEFORE AFTER
BEFORE

AFTER

BEFORE

AFTER

| 年齢 | 16歳 |
|---|---|
| 主訴 | 下の歯のガタつきを治したい |
| 症状 | 正中線の偏位を伴う叢生症例 |
| 治療内容 | 正中線の偏位を伴う叢生症例と診断し非抜歯でマルチブラケット装置を用いて治療を行いました。 |
| 抜歯部位 | 非抜歯 |
| 治療期間 | 1年 |
| 費用(税込) | 880,000円(税込)別途処置料 |
| 治療のリスク | 虫歯、歯周病の悪化、歯肉退縮、歯根吸収、顎関節症の悪化、後戻り |
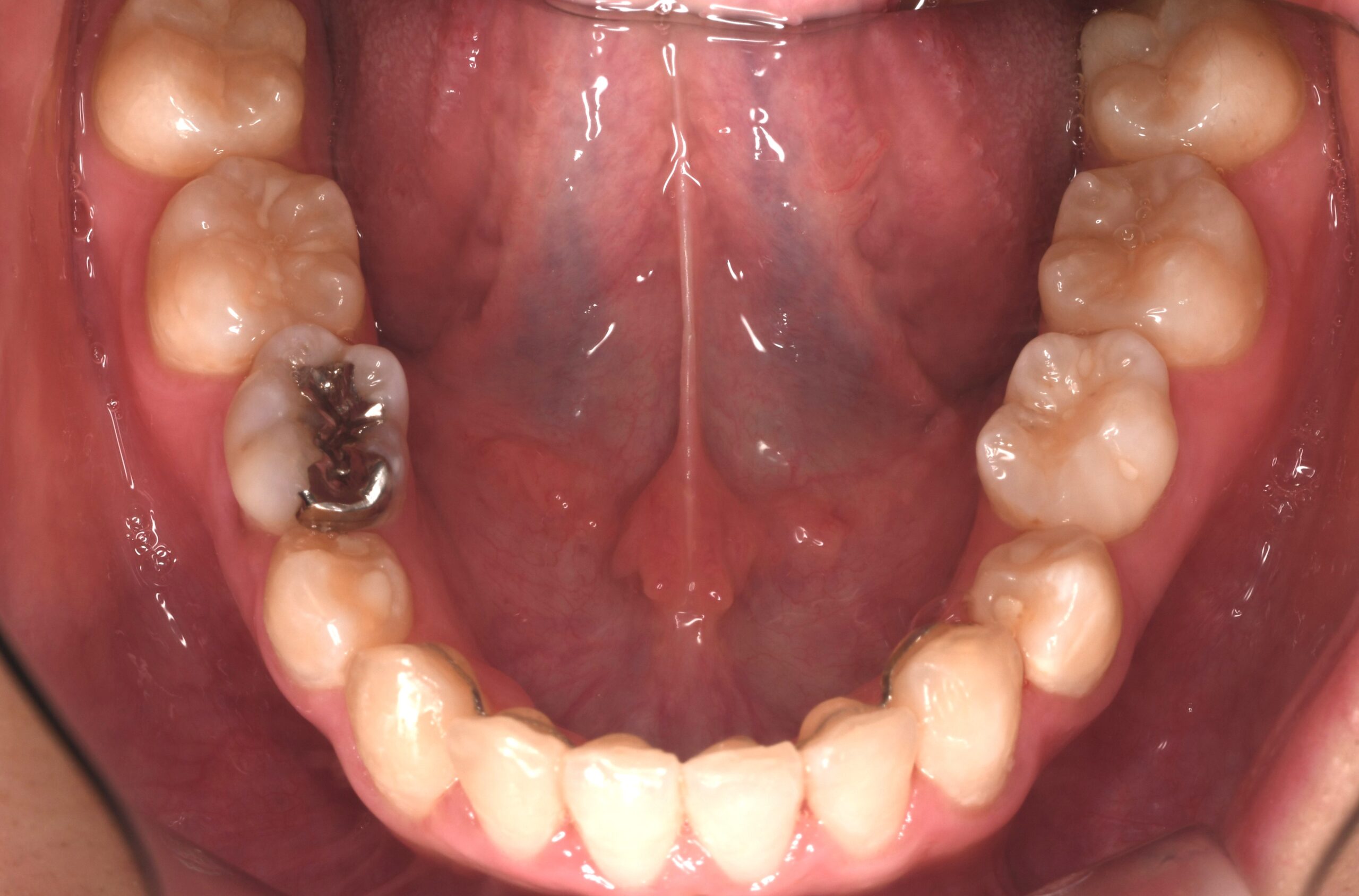
Case
2026-03-25
BEFORE

AFTER

BEFORE

AFTER

| 年齢 | 16歳 |
|---|---|
| 主訴 | 下の歯のガタつきを治したい |
| 症状 | 正中線の偏位を伴う叢生症例 |
| 治療内容 | 正中線の偏位を伴う叢生症例と診断し非抜歯でマルチブラケット装置を用いて治療を行いました。 |
| 抜歯部位 | 非抜歯 |
| 治療期間 | 1年 |
| 費用(税込) | 880,000円(税込)別途処置料 |
| 治療のリスク | 虫歯、歯周病の悪化、歯肉退縮、歯根吸収、顎関節症の悪化、後戻り |

この度、2026年4月より、名古屋市千種区にて「覚王山矯正歯科」をオープンいたします。
地域の皆さまに信頼される矯正歯科を提供し、健やかな笑顔のお手伝いをさせていただきます。
どうぞよろしくお願いいたします。
お問い合わせはこちら
LINE相談フォーム