2026-03-26
出っ歯、かみ合わせの深さを治したい
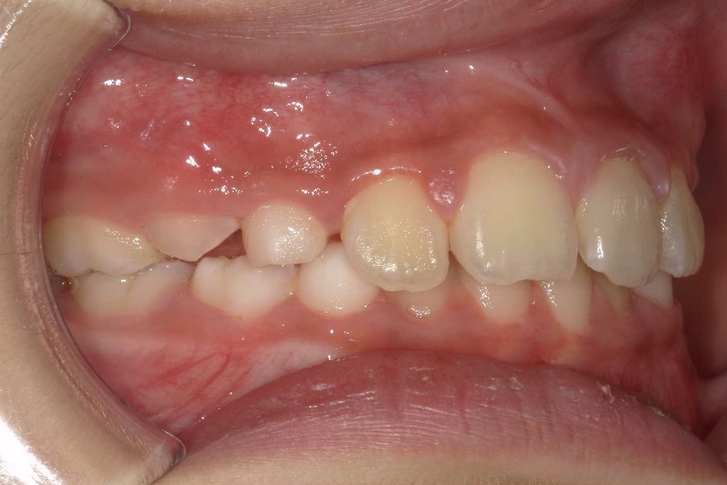
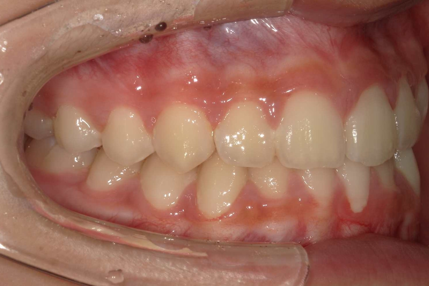
症例
BEFORE AFTER
BEFORE

AFTER

BEFORE

AFTER

| 年齢 | 8歳 |
|---|---|
| 主訴 | 出っ歯、かみ合わせの深さを治したい |
| 症状 | 過蓋咬合を伴う上顎前突症例 |
| 治療内容 | 過蓋咬合を伴う上顎前突症例と診断し床矯正装置、セクショナルアーチ、機能的矯正装置を用いて治療を行いました。 |
| 抜歯部位 | 非抜歯 |
| 治療期間 | 3年半 |
| 費用(税込) | 825,000円(税込)別途処置料 |
| 治療のリスク | 虫歯、歯周病の悪化、歯肉退縮、歯根吸収、顎関節症の悪化、後戻り |



