2026-03-26
矯正治療の後戻りを治したい
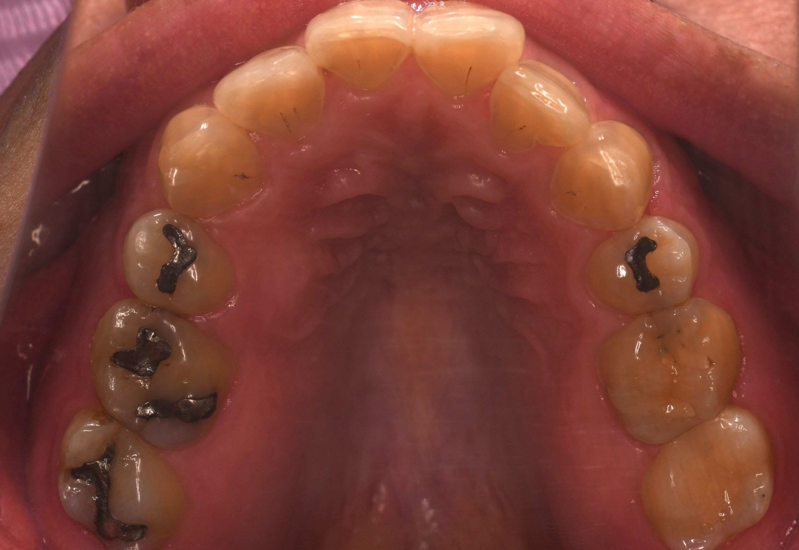
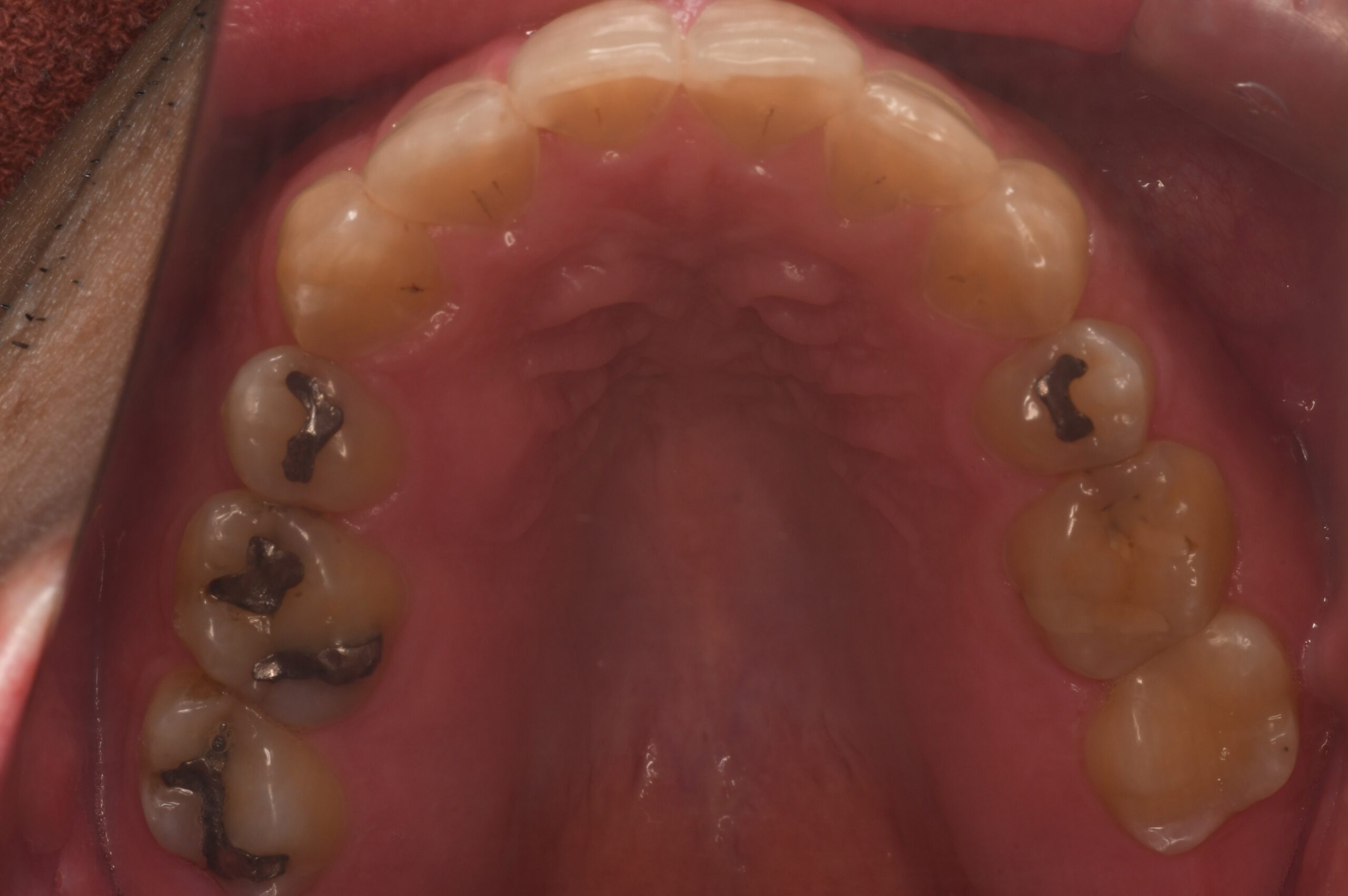
症例
BEFORE AFTER
BEFORE

AFTER

BEFORE

AFTER

| 年齢 | 45歳 |
|---|---|
| 主訴 | 矯正治療の後戻りを治したい |
| 症状 | 上下両側第一小臼歯抜歯による矯正既往を有する叢生症例 |
| 治療内容 | 上下両側第一小臼歯抜歯による矯正既往を有する叢生症例と診断し非抜歯(上下両側第一小臼歯抜歯済み)でマウスピース型(カスタムメイド)矯正(歯科)装置を用いて治療を行いました。 |
| 抜歯部位 | 非抜歯(上下両側第一小臼歯抜歯済み) |
| 治療期間 | 6か月 |
| 費用(税込) | 990,000円(税込)別途処置料 |
| 治療のリスク | 虫歯、歯周病の悪化、歯肉退縮、歯根吸収、顎関節症の悪化、後戻り |



